画像 花筵状線維化 読み方 114106-花筵状線維化 読み方
2
Article “自己免疫性膵炎の病理診断花筵状線維化の再検討” Detailed information of the JGLOBAL is a service based on the concept of Linking, Expanding, and Sparking, linking science and technology information which hitherto stood alone to support the generation of ideas By linking the information entered, we provide opportunities to make unexpected discoveries and IgG4関連疾患は悪性腫瘍ではなく、 繊維化を特徴とする良性腫瘍 です。 IgG4関連疾患の患者数 IgG4関連疾患の患者数は、 約 8000〜人 と推定されており、平均の発症年齢は 『 およそ60歳 』 と言われています。 IgG4関連疾患は、 『 指定難病 』 に登録されており、難病申請が通れば、医療費の
花筵状線維化 読み方
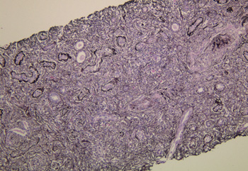
花筵状線維化 読み方-B.2つを認める。 ①高度のリンパ球、形質細胞の浸潤と、線維化 ②強拡1視野当たり10個を超えるIgG4陽性形質細胞浸潤 ③花筵状線維化(storiform fibrosis) ④閉塞性静脈炎(obliterative phlebitis) 5.膵外病変:硬化性胆管炎、硬化性涙腺炎・唾液腺炎、後腹膜 ポイントは プルキンエ細胞小脳で唯一、出力信号を発する。しかも gaba 作動性の抑制性ニューロンを形成。 苔状線維小脳への入力。主に橋核から起始。小脳核及び顆粒細胞に グルタミン酸 作動性の興奮性ニューロンを送る。 登上線維小脳への入力。延髄の下オリーブ核のみから
2
デジタル大辞泉 花筵の用語解説 1 「花茣蓙はなござ」に同じ。2 草花などが一面に咲きそろったさま、また、花の散り敷いたさまを筵にたとえていう語。《季 春》「片尻は岩にかけけり―/丈草」類語敷物・上敷き・薄縁うすべり・茣蓙ござ・花茣蓙・筵むしろ・薦こも・敷き花筵 (はなむしろ)の例文をもっと (4作品) 見る はなござ (逆引き) 老婆は 老爺 の出て往くのを見送り、それから 花筵 を引き出して来て 初恋 (新字新仮名) / 矢崎嵯峨の舎 (著) タパ (逆引き) 花筵 十三枚、 団扇 三十枚、豚五頭、魚類の山、タロ芋の更に正解はAIP 花筵状線維化 ,capsule like rim ,ソーセージ様腫大 膵臓疾患はなんだか個性的な人が多い印象! MCN→夏みかん (MCNはミカンと読めますね?) SCN→蜂巣状嚢胞 (S=巣) IPMN→分枝型はブドウ (“ぶ”んし→”ぶ”どう)、主膵管型はイクラ (IPMNのI=イクラ) 正答
病理組織学的パターンを身近なものに例えてみよう 2 病理組織学的パターンを身近なものに例えてみよう 病理組織診断において、全体構築や浸潤細胞のパターンや組み合わせから診断を導きだすという作業が重要であることは言うまでもありません精選版 日本国語大辞典 花筵・花蓆の用語解説 〘名〙① 綿糸または麻糸の撚(より)合糸を経(たていと)とし、緯(よこいと)には藺草(いぐさ)を織り込んだもの。敷物用。岡山・広島・福岡が産地。現在は経にサランなどを使用している。花茣蓙(はなござ)ともいう。自己免疫性膵炎の病理診断:花筵状線維化の再検討 タイトル 自己免疫性膵炎の病理診断:花筵状線維化の再検討 英語タイトル著者 能登原憲司 所属 倉敷中央病院 病理検査科 団体著者資料名 膵臓 発行年・月・日 巻号特殊号 26 3
花筵状線維化 読み方のギャラリー
各画像をクリックすると、ダウンロードまたは拡大表示できます
![]() | ||
![]() | ![]() | |
「花筵状線維化 読み方」の画像ギャラリー、詳細は各画像をクリックしてください。
![]() | ||
「花筵状線維化 読み方」の画像ギャラリー、詳細は各画像をクリックしてください。
![]() | ![]() | |
![]() | ||
![]() | ![]() | |
「花筵状線維化 読み方」の画像ギャラリー、詳細は各画像をクリックしてください。
![]() | ![]() | |
「花筵状線維化 読み方」の画像ギャラリー、詳細は各画像をクリックしてください。
![]() | ![]() | |
![]() | ||
「花筵状線維化 読み方」の画像ギャラリー、詳細は各画像をクリックしてください。
![]() | ![]() | |
![]() | ||
![]() | ![]() | |
「花筵状線維化 読み方」の画像ギャラリー、詳細は各画像をクリックしてください。
![]() | ||
![]() | ||
「花筵状線維化 読み方」の画像ギャラリー、詳細は各画像をクリックしてください。
![]() | ![]() | |
![]() | ||
「花筵状線維化 読み方」の画像ギャラリー、詳細は各画像をクリックしてください。
![]() | ||
「花筵状線維化 読み方」の画像ギャラリー、詳細は各画像をクリックしてください。
![]() | ||
![]() | ||
![]() | ||
「花筵状線維化 読み方」の画像ギャラリー、詳細は各画像をクリックしてください。
![]() | ||
![]() | ![]() | |
作り方も簡単! サイズや形状を指定して自由にカスタマイズできます。 オプション選択後に「画像を作成する」ボタンをクリックし 壁紙 単色 グラデーション 壁紙 単色いろいろ グラデーション 壁紙 紺色 壁紙クロスの色選びの参考に。 √1000以上 花筵2) 花筵状線維化(storiform fibrosis)は、炎症細胞浸潤と小型紡錘形細胞からなる花筵状の錯綜配列を示し、様々な程度の線維化を伴う病変である。 一方、閉塞性静脈炎(obliterative phlebitis)は、炎症細胞による線維性の静脈閉塞と定義される。
Incoming Term: 花筵状線維化 読み方,






























コメント
コメントを投稿